Arthrosen der großen und kleinen Gelenke, der Wirbelsäulenfazetten und auch degenerative Sehnendegenerationen sind nicht der direkte Promoter oder gar verantwortlich für Schmerzen bei muskuloskelletanen Erkrankungen. Schmerzen sind in erster Linie auf die neurogene Entzündung, die Inflammation, in den Weichgeweben der Gelenke zurückzuführen.
Unser angeborenes, unspezifisches Immunsystem reagiert im Laufe des Lebens auf Gelenk-oder Sehnenerkrankungen mit der Freisetzung und Aktivierung von Zytokinen, einem Mix entzündungsfördernder und -hemmender Botenstoffe.
Entzündungsprozesse fördern die Bildung freier Radikale, die als aggressive Sauerstoffverbindungen jedes Gewebe schädigen (so auch Sehnen, Knorpel/Knochen).
Zytokine als regulatorische Proteine sind maßgeblich an der Entstehung arthrotischer und degenerativer Gelenk- oder Sehnenveränderung beteiligt.
Arthrotische Knorpellücken und Knochendefekte sowie auch Sehnenschäden werden wild und unkontrolliert von einem entzündlichen Granulationsgewebe überwachsen. Wachstumsfaktoren für Blutgefäße (VEGF) und Nerven (NGF) fördern und regeln im Granulationsgewebe ein übermäßiges Einsprossen mikroskopisch kleiner, irregulärer Blutgefäße aus den benachbarten Weichgeweben, speziell der gefäßreichen Synovia (Gelenkinnenhaut) und den Ansatzstellen der Sehnen und Bänder.
Parallel zu den Mikrogefäßbildungen wachsen hochfeine Schmerzfasern (Nozizeptoren) und freie Nervenendungen in das Entzündungsgewebe ein. Lokal schütten sie das Schmerzprotein Substanz P aus.
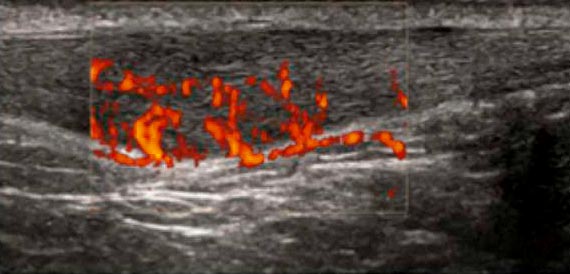
Sonographisch kann mittels power Doppler imaging(PDI)aus der Zahl der abgebildeten irregulären Gefäße auf die Anzahl der Nozizeptoren geschlossen werden. Hier beispielsweise typisch für degenerierte schmerzhafte Sehnenansatzerkrankungendie Epicondylitis lateralis (Tennisarm) und die entzündete Achillessehne (Achillodynie).

PDI Aufnahme: Epicondylitis lateralis, Neovaskularisation in der Sehne des M.extensor carpi radialis brevis.

PDI Aufnahme: Irreguläre Gefäßbildung in der Achillessehe (Neovaskularisation) bei Achillodynie (Entzündung der Achillessehne).
Die zahlreich einwachsenden Nozizeptoren besitzen hochsensible Rezeptoren für verschiedene Botenstoffe, die Änderungen der nervalen Erregbarkeit verursachen, die also schmerzhafte mechanische Reize steigern und die Schwelle der Schmerzerregbarkeit senken können, so daß Schmerzen schon auf einen Reiz eintreten, der normalerweise keinen Schmerz provoziert.
Im Detail, eine Vielfalt von Schmerzrezeptoren wird durch verschiedene Zytokine (Botenstoffe) aktiviert. Alle diese Zytokine generieren und senden Signale an das immer umfangreicher werdende zelluläre Schmerzrezeptorenfeld. Von dort werden diese Signale zentral über Rückenmarksebenen zum Gehirn fortgeleitet. Am Ende besteht die sogenannte chronische neurogene Inflammation, die durch mechanische ebenso durch thermische und chemische Reize des nozizeptiven Feldes ausgelöst werden kann. Ist ein chronischer Schmerzzustand erreicht, kann er sich letztlich verselbständigen, also autonom werden.
Schmerzfördernde Zytokine an nozizeptiven Nervenzellen sind die eigentlichen Störenfriede, die chronischen Schmerzverursacher und nicht, wie eingangs gesagt, die Strukturveränderung der Arthrose oder Tendinopathie, der Sehnenabnutzung.
Bei der Therapie kommt es darauf an, Rezeptorenfelder auf Reize unsensibler zu machen und die Wirkung von Botenstoffen an nozizeptiven Nervenzellen zu beseitigen.
Schmerzlinderung erfolgt letztlich durch Neutralisierung der Botenstoffe und Blockade von Zytokinrezeptoren. Vermindertes Abfeuern von Schmerzsignalen auf Rezeptorebene kann schnell zur Schmerzreduzierung führen.
Medikamentös kann das gelingen. Gut zu behandeln ist der Weichteilschmerz, die chronische neurogene Inflammation, mit den modernen, leider noch sehr teurenBiologika, die biotechnologisch aus Zellkulturen gewonnen werden. Sie erfüllen die oben geschilderten therapeutischen Voraussetzungen, Zytokine zu neutralisieren oder Zytokinrezeptoren zu hemmen.
Das gelingt auch über biologisch wirksame Effekte der Magnetfeldtherapie. Magnetfelder eines EMTT-Gerätes induzieren elektrische Felder, die direkt mit den innerzellulären biochemischen Kaskaden des Nozizeptorsystems interagieren (ineinandergreifen, abschwächen, blockieren) und so Nervenrezeptoren von Schmerz verursachenden Botenstoffen befreien.
Rezeptoren, die auf Magnetfelder reagieren, kommen in der Biologie vor. Wir wissen, dass sie funktionieren. So konnten solche Rezeptoren in der Netzhaut von Tauben nachgewiesen werden, die damit wertvolle Steuerungs- und Orientierungsinstrumente haben. Auch bei Zugvögeln wurden im Schnabel der Tiere magnetsensitive Rezeptoren gefunden, die bei ihren Flügen den Erdmagnetismus für Navigation und Orientierung nutzen.
Aus diesen Ausführungen ergibt sich für manche Patienten die gute Chance, von großen operativen Eingriffen mit Einsetzen künstlicher Gelenke Abstand nehmen zu können. Wenn es nämlich gelingt, mit der Magnetfeldtherapie die neurogene Entzündung und starken Schmerzen zurückzudrängen, besteht nicht mehr die unbedingte Notwendigkeit eines großen operativen Eingriffs mit all den bekannten Risiken. Kein Patient würde sich bei bekannter Arthrose operieren lassen, wenn durch eine Magnetfeldtherapie Schmerzfreiheit erzielt wird.




0 Comments